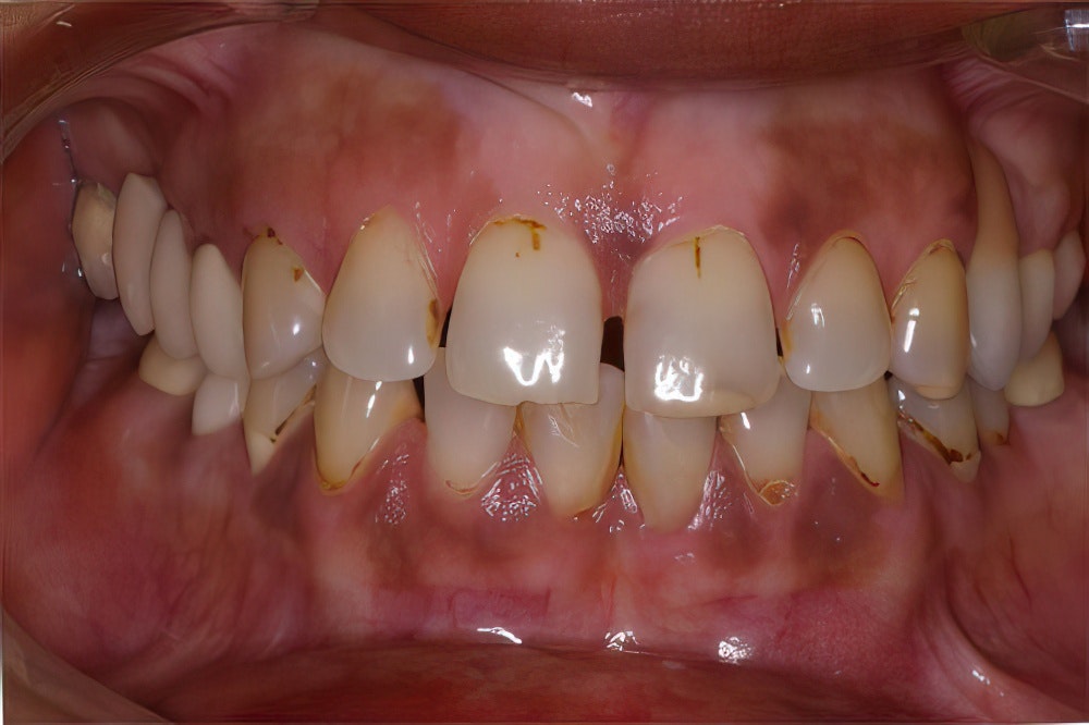
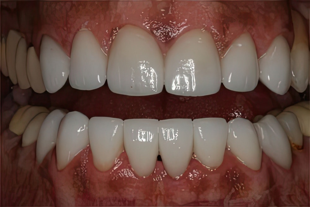
Smile Makeover
If several kinds of imperfections are affecting your smile, a single cosmetic treatment may not be enough to restore your appearance.
For decades, Montreal, QC, has turned to Drs. Charles and Patrick Casey for smile makeovers – combinations of multiple treatments to achieve truly comprehensive results.
Discover why so many patients turn to us to upgrade their smiles.

"Frankly, of superb quality."
Every aspect of my experience at my first ever visit to this dentist was amazing. Very professional, thorough, with attention to every detail, by everyone I met!
View On GoogleQuite possibly "the best" clinic in the city of Montreal. Dr. Casey and his staff have immaculate working practices and don't do extra dental work just for the sake of making a few extra bucks. And the work that they do end up doing, is frankly of superb quality
View On Google
Benefits of a Smile Makeover
Streamlined Treatment
A smile makeover can achieve more in one treatment than any individual cosmetic dentistry solution. This approach can save you both time and money because multiple treatments can be completed in a single appointment, resulting in consolidated recovery time and fewer visits to our office.
Personalized Approach
There is no such thing as a one-size-fits-all smile makeover. After a consultation to discuss your goals, Dr. Casey will assess your oral health and take note of your unique features, such as the size and shape of your anterior teeth and the curvature formed by the edges of your top teeth. These measurements will help your dentist to implement treatments that make your smile look healthy, symmetrical, and attractive.
Improved Dental Health
While most elements of a smile makeover are cosmetic, the treatment can also improve your dental health. Dental implants can replace the roots of any missing teeth and provide support for crowns, bridges, or dentures. We can also correct the occlusion (contact between the teeth) of your bite to establish proper alignment and prevent teeth grinding and temporomandibular joint disorder (TMJ). The doctor will address any tooth decay, gum disease, and other conditions affecting your dental health before moving on to cosmetic upgrades.
Enhance Your Confidence
Your satisfaction with your teeth is a key contributor to your self-confidence. A smile makeover incorporating veneers and other treatments can help you feel more outgoing and proud of your appearance, which can yield amazing benefits in your personal and professional life.
See One of Our Cosmetic Enhancements
Invest in Your Confidence Contact Us Today
A smile makeover at our Westmount dental office can have a profound effect on your confidence and quality of life. We employ a careful blend of artistry and science to help you achieve a smile that provides maximum benefits.
Many of our patients know they want enhancements to their teeth, but cannot achieve their goals with a single treatment. We will help you carefully select a blend of procedures that meet your exact goals, delivering maximum satisfaction. To begin planning your new smile, please schedule an appointment by contacting our Montreal practice online or calling our office at:
(514) 937-6558
"The absolute best care."
Knowledgeable, attentive, and really excellent for both regular and much more complex needs. Would give more stars if we could! Not the cheapest but you get the absolute best care, follow up, and attention. Very grateful for all they do!
View On GoogleAmazing experience! I’ve been wanted to close the gap between my two front teeth for years and I finally found a solution that was affordable enough with the dental bonding procedure. It took about 45 min and the result it spectacular! I truly recommend it
View On GoogleBudgeting for a Smile Makeover
Keep in mind procedures done for purely cosmetic reasons will not be covered by insurance. Treatment recommended to improve your health, on the other hand, should be at least partially covered.
The cost of a smile makeover varies based mainly on the procedures included. Factors that can affect the final cost of treatment include:
Complexity of Treatments
Some individual cosmetic procedures are inherently less expensive, such as teeth whitening and dental bonding. Patients receiving more complex treatments such as veneers or orthodontic work can expect the final cost to be higher.
Sedation Dentistry
During a smile makeover, Dr. Casey can perform several procedures at once, which will reduce the cost of sedation when compared to having each treatment performed independently. We offer both oral conscious and intravenous (IV) sedation.
Dental Technology:
At Smile Montreal, we use the most cutting-edge technology in modern dentistry. Although this technology increases the cost of treatment, it results in natural-looking results that more closely meet your expectations and provide long-lasting satisfaction.
Full Mouth Reconstruction vs. Smile Makeovers
If you are missing many or most of your teeth, we will likely recommend dentures or dental implants to restore your oral health and to provide a sturdy foundation for further restorations like dental crowns. Combining these types of procedures is known as a full mouth reconstruction.
On the other hand, if you have strongly established teeth and are solely seeking aesthetic upgrades, we may suggest a smile makeover. This potentially conservative treatment plan could revolve around simple bleaching to improve tooth color.
How Our Dentists Design Beautiful Smiles We Work With a Renowned Global Leader in the Field

During a cosmetic dentistry consultation, our dental team will help you determine which procedures are right for the smile you envision. Once you and your dentist are in agreement, they will place temporaries in your mouth to mimic, or preview, what the final shape and size of your cosmetic restorations will be.
After previewing your veneers, crowns, or whatever other treatments you desire, we send precise impressions to an elite dental laboratory that is a renowned global leader in cosmetic dentistry. Once they return your custom-crafted restorations, we will place them over your teeth and make any slight necessary adjustments before securing them in place. This ensures optimal results.







hg.jpg?w=420&h=420&fit=crop)





